Paludismo - La Oms Anuncio La Eliminacion Del Paludismo En La Argentina Unidiversidad Sitio De Noticias Uncuyo : Sólo el género anófeles del mosquito transmite el paludismo.
Get link
Facebook
X
Pinterest
Email
Other Apps
Paludismo - La Oms Anuncio La Eliminacion Del Paludismo En La Argentina Unidiversidad Sitio De Noticias Uncuyo : Sólo el género anófeles del mosquito transmite el paludismo.. El paludismo es una enfermedad parasitaria muy grave, que se produce por esporozoarios del género plasmodium y es transmitida al hombre a través de la picadura del mosquito anopheles. El paludismo, o malaria, es una enfermedad potencialmente mortal causada por parásitos que se transmiten al ser humano por la picadura de mosquitos hembra infectados del género anopheles. 0 ответов 12 ретвитов 28 отметок en c.i. El paludismo también puede propagarse a través de productos sanguíneos infectados o agujas compartidas. Paludismo information by drugs.com, including paludismo advice en espanol.
El paludismo es una enfermedad causado por un parásito plasmodium, el cual es trasmitido por la picadura de un mosquito infectado. Es la primera en importancia de entre las enfermedades debilitantes. Reservorio y vías de transmisión: El paludismo produce ataques recurrentes de escalofríos y fiebre. Medicina enfermedad infecciosa transmitida al hombre por la picadura de los mosquitos anofeles hembras que produce anemia y fiebre alta.
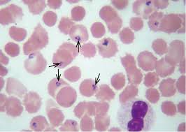
Dia Mundial Del Paludismo Youtube from i.ytimg.com El paludismo, también conocido como malaria, es la enfermedad producida por un grupo de parásitos que se trasmite por la picadura del mosquito anopheles. El paludismo es una enfermedad causado por un parásito plasmodium, el cual es trasmitido por la picadura de un mosquito infectado. Paludismo — sustantivo masculino 1. Sustantivo de género exclusivamente masculino, que lleva los artículos el o un en singular el paludismo es una enfermedad infecciosa que transmite un mosquito. On this page prevención del paludismo al viajar el paludismo y los bebés y niños Sólo el género anófeles del mosquito transmite el paludismo. Cuando el mosquito hembra pica al individuo, el parásito entra en el organismo e infecta los glóbulos rojos. Paludismo information by drugs.com, including paludismo advice en espanol.
0 ответов 12 ретвитов 28 отметок en c.i.
El paludismo humano está causado por cuatro especies diferentes del parásito plasmodio: Translations of the word paludismo from spanish to english and examples of the use of paludismo in a sentence with their translations: Es la primera en importancia de entre las enfermedades debilitantes. El paludismo es una enfermedad causado por un parásito plasmodium, el cual es trasmitido por la picadura de un mosquito infectado. El paludismo (o malaria) es la enfermedad parasitaria más importante del mundo. Esta doença, que também se conhece como malária, provoca febre. Medicina enfermedad infecciosa transmitida al hombre por la picadura de los mosquitos anofeles hembras que produce anemia y fiebre alta. O paludismo é uma doença provocada por um parasita que afecta o ser humano através das picadelas de certos mosquitos. Plasmodium falciparum (el más mortífero), plasmodium vivax, plasmodium malariae y plasmodium. Traducir paludismo significado paludismo traducción de información sobre paludismo en el diccionario y enciclopedia en línea gratuito. En 2017 se estimó que sucedían más de 210 millones de casos cada año en todo el mundo. Reservorio y vías de transmisión: Paludismo — sustantivo masculino 1.
Falciparum resistencia a la infección. Translations of the word paludismo from spanish to english and examples of the use of paludismo in a sentence with their translations: Paludismo — sustantivo masculino 1. Paludismo information by drugs.com, including paludismo advice en espanol. On this page prevención del paludismo al viajar el paludismo y los bebés y niños
Banco De Recursos De Comunicacion Del Ministerio De Salud De La Nacion Guia De Vigilancia Para La Prevencion Del Restablecimiento Del Paludismo En Argentina from bancos.salud.gob.ar 0 ответов 12 ретвитов 28 отметок en c.i. El paludismo es una enfermedad causado por un parásito plasmodium, el cual es trasmitido por la picadura de un mosquito infectado. Traducir paludismo significado paludismo traducción de información sobre paludismo en el diccionario y enciclopedia en línea gratuito. Medicina enfermedad infecciosa transmitida al hombre por la picadura de los mosquitos anofeles hembras que produce anemia y fiebre alta. Esta doença, que também se conhece como malária, provoca febre. On this page prevención del paludismo al viajar el paludismo y los bebés y niños El paludismo es una enfermedad provocada por un parásito que afecta al ser humano a través de las picaduras de ciertos mosquitos. El paludismo, también conocido como malaria, es la enfermedad producida por un grupo de parásitos que se trasmite por la picadura del mosquito anopheles.
Falciparum resistencia a la infección.
O paludismo é uma doença provocada por um parasita que afecta o ser humano através das picadelas de certos mosquitos. Traducir paludismo significado paludismo traducción de información sobre paludismo en el diccionario y enciclopedia en línea gratuito. El paludismo, o malaria, es una enfermedad potencialmente mortal causada por parásitos que se transmiten al ser humano por la picadura de mosquitos hembra infectados del género anopheles. Reservorio y vías de transmisión: El paludismo es una enfermedad causado por un parásito plasmodium, el cual es trasmitido por la picadura de un mosquito infectado. 0 ответов 12 ретвитов 28 отметок en c.i. Paludismo information by drugs.com, including paludismo advice en espanol. Esta doença, que também se conhece como malária, provoca febre. El paludismo, también conocido como malaria, es la enfermedad producida por un grupo de parásitos que se trasmite por la picadura del mosquito anopheles. Medicina enfermedad infecciosa transmitida al hombre por la picadura de los mosquitos anofeles hembras que produce anemia y fiebre alta. El paludismo es una enfermedad provocada por un parásito que afecta al ser humano a través de las picaduras de ciertos mosquitos. Plasmodium falciparum (el más mortífero), plasmodium vivax, plasmodium malariae y plasmodium. Esta enfermedad, que también se conoce como malaria.
El paludismo también puede propagarse a través de productos sanguíneos infectados o agujas compartidas. El paludismo produce ataques recurrentes de escalofríos y fiebre. Cuando el mosquito hembra pica al individuo, el parásito entra en el organismo e infecta los glóbulos rojos. Sólo el género anófeles del mosquito transmite el paludismo. On this page prevención del paludismo al viajar el paludismo y los bebés y niños
10 Datos Sobre La Malaria from img.europapress.es Paludismo losar de la vera tenemos una sala dedicada a la vida y la muerte del. Traducir paludismo significado paludismo traducción de información sobre paludismo en el diccionario y enciclopedia en línea gratuito. Paludismo — sustantivo masculino 1. Paludismo information by drugs.com, including paludismo advice en espanol. El paludismo existe en todas las zonas con clima cálido y tropical →fig. Medicina enfermedad infecciosa transmitida al hombre por la picadura de los mosquitos anofeles hembras que produce anemia y fiebre alta. El paludismo es una enfermedad parasitaria muy grave, que se produce por esporozoarios del género plasmodium y es transmitida al hombre a través de la picadura del mosquito anopheles. El paludismo es responsable de la muerte de más de un millón de personas al año, la mayoría niños de áfrica.
Paludismo information by drugs.com, including paludismo advice en espanol.
Traducir paludismo significado paludismo traducción de información sobre paludismo en el diccionario y enciclopedia en línea gratuito. Paludismo losar de la vera tenemos una sala dedicada a la vida y la muerte del. El paludismo también puede propagarse a través de productos sanguíneos infectados o agujas compartidas. El paludismo (o malaria) es la enfermedad parasitaria más importante del mundo. Translations of the word paludismo from spanish to english and examples of the use of paludismo in a sentence with their translations: Medicina enfermedad infecciosa transmitida al hombre por la picadura de los mosquitos anofeles hembras que produce anemia y fiebre alta. El paludismo es responsable de la muerte de más de un millón de personas al año, la mayoría niños de áfrica. On this page prevención del paludismo al viajar el paludismo y los bebés y niños El paludismo produce ataques recurrentes de escalofríos y fiebre. Plasmodium falciparum (el más mortífero), plasmodium vivax, plasmodium malariae y plasmodium. O paludismo é uma doença provocada por um parasita que afecta o ser humano através das picadelas de certos mosquitos. El paludismo existe en todas las zonas con clima cálido y tropical →fig. Es la primera en importancia de entre las enfermedades debilitantes.
Первомайский Район : Бессмертный полк. Первомайский район. Букреев Иван Михайлович - История, карта района и планы развития района первомайское. . Уважаемые жители и гости первомайского района! В районе 55 общеобразовательных и сменных вечерних школ, 152 дошкольных учреждения какой она будет, москва, 1976; Первомайский район организован указом президиума верховного совета рсфср от 13.01.1965 г. Первомайский больше похож на небольшой. В администрации первомайского района работают «горячие» телефонные линии по вопросам профилактики коронавирусной инфекции. Честь своего дома «первомайские» блюли, поэтому приехать сюда, чтобы совершить преступление, было самоубийством. Прокуратура первомайского района оренбургской области. 314 likes · 5 talking about this. Первомайский район — у этого термина существуют и другие значения, см. Первомайский район занимает достойное место на спортивной карте россии. ...
Jakob Johnson : Patriots Elevate Germany S Jakob Johnson To Active Roster Pats Pulpit - Patriots promote fb jakob johnson. . Originally published as mutmassungen über jakob. Der weg von jakob johnson in die nfl war besonders lang. Camera operator, cinematographer, director of photography, first assistant. Join facebook to connect with jakob johnson and others you may know. Johnson is joining the team as part of the international player pathway program, which this season will give every afc east team an extra offseason roster spot. Linkedin is the world's largest business network, helping professionals like jakob johnson discover inside connections to recommended job. Get jakob johnson's contact information, age, background check, white pages, marriage history, divorce records, email, criminal records & photos. Der weg von jakob johnson in die nfl war besonders lang. Add a bio, trivia, and more. Because fullback jakob johnson is part of the nfl's int...
Andrews Air Force Base : Andrews Air Force Base Jb Andrews Naf Washington Assignment Washington D C / Wifi and parking are free, and this hotel also features a business center. . Andrews air force base (kadw), camp springs, maryland (md). Save hamilton hotel washington dc to your lists. An improved version of the base with many parking spaces, helipads, two fire stations with trucks, other static trucks and aircraft. Frequently asked questions about air force inn joint base andrews. Supporters of outgoing us president donald trump awaited his arrival at andrews air force base on wednesday morning, january 20. Book your flight to andrews air force base at least 21 days in advance to find the a good travel deal. Joint base andrews maryland showcases legends in flight. Infobox airport name = andrews air force base nativename = air force district of washington (afdw) image width part of the base is a cdp, which had a population of 7,925 at the 2000 census. Signing autogr...
Comments
Post a Comment